Многие люди считают, что ортодонт работает исключительно с детьми и подростками. А если вы уже выросли и достигли зрелости, то ничего не сможет изменить ваш прикус и зубы. Это огромное заблуждение, но помните: чем раньше вы приступите к исправлению, тем быстрее и дешевле будет лечение, и снизится риск появления побочных результатов.
Дошколятам и школьникам необходимо обязательное посещение ортодонта. В этом возрасте зубы меняются, зубные ряды начинают формироваться. Важно вовремя обнаружить проблему и своевременно её купировать.
Не откладывайте визит к стоматологу в долгий ящик. Врач сможет диагностировать все проблемы, даст профессиональные рекомендации и назначит верное лечение. В детском возрасте можно решить проблему лишь миотерапией. Дошкольнику не будет назначено лечение в полной мере, так как установка брекетов возможна только на коренные зубы. Молочные зубы имеют неустойчивые корни, которые постепенно рассасываются. Маленьким детям могут установить пластинки для формирования челюсти. Подростки уже могут носить брекет-систему и получать полноценное лечение, которое исправит все проблемы и сделает зубы ровными.
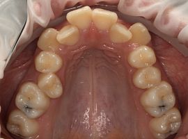
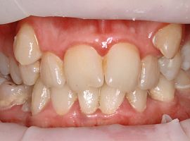
Ортодонтия – это особое направление в стоматологии, назначение которого кроется в исправлении аномалий зубного ряда. Задача доктора состоит в исправлении челюстных патологий, которыми страдают более 90 % населения земного шара. Среди самых распространенных аномалий выделяют:


Виды лечения в ортодонтии
Ортодонтия подразумевает собой использование трех главных методик исправления зубных патологий:
Первый способ используют только в детском возрасте, во время формирования костей челюсти. Миотерапия является профилактической и стимулирующей мерой. По сути, это совокупность упражнений, мотивирующих зубной ряд к правильному положению.
В аппаратной стоматологии применяют различное оборудование и конструкции, оказывающие воздействие на зубы.
Хирургическое вмешательство назначается в запущенных случаях и после травмирования зубов. Если имеет резко выраженная деформация зубных дуг, либо диспропорция нижней и верхней челюстей, то единственным возможным вариантом будет применение хирургического метода лечения. В этом случае осуществляется хирургическая операция, исправляющая челюстные кости.
Комбинированный аппаратно-хирургический метод: нередко перед тем, как установить аппарат по исправлению прикуса, требуется провести хирургическую подготовку. Обычно это выражается в удалении лишних зубов, чтобы создать в зубном ряду дополнительное свободное место. Также иногда требуется хирургическое вмешательство по подрезке уздечки языка.
Если говорить простым языком, то аппаратным метод – это лечение несъемными и съемными ортодонтическими конструкциями, то есть брекетами и пластинками. Это лечение знакомо всем. Оно основано на том, что на отдельные зубы или элементы зубочелюстной системы осуществляется механическое воздействие, благодаря чему перестраивается костная ткань.
Ортодонтическое оборудование
Ортодонтия выделяет две категории аппаратов для формирования красивой улыбки: съемные и несъемные.
Съемные конструкции в ортодонтии эти конструкции также делятся на два вида:
Виды съемных устройств:
Несъемное ортодонтическое оборудование.
Они в основном представлены всем известными брекет-системами. Брекет-систем также существует несколько видов, в зависимости от материала изготовления и их конструкции.
По материалу брекеты делятся на:
По типу соединения с дугой:
Как видно из вышенаписанного, существует огромное количество вариантов ортодонтического лечения. К сожалению, выбрать наиболее предпочтительный для пациента удается не всегда – нужно также учесть все показания. Поэтому обычно выбором варианта лечения занимается врач, хотя и пациент имеет некоторое влияние на события.
Этапы ортодонтического лечения