Металлические коронки – это ортопедические конструкции из сплавов металлов, которые восстанавливают анатомическую форму и функцию зубов. Лечение металлическими коронками – это довольно старый, но эффективный способ. Такие конструкции очень прочные, долговечные и недорогие.
Достоинства:
Недостатки:
Виды
Металлические коронки бывают литые и штампованные. Цельнолитые изделия изготавливаются по индивидуальным слепкам зубов способом обжигания при высокой температуре в специальной печи. Такие коронки имеют толстые литые стенки, что делает конструкцию очень прочной. Применяют коронки на боковой группе зубов благодаря стойкости при воздействии жевательного давления. Цельнолитые коронки бывают таких видов:
1. С напылением. При желании пациента коронки покрываются золотистым напылением и имеют вид золотых зубов;
2. С циркониевым напылением – это новый вид конструкции, при котором металлические коронки покрывают небольшим слоем диоксида циркония. Напыление изолирует полость рта от металла, может применяться при аллергии, не вызывает гальванических токов. Коронки из диоксида циркония являются самыми лучшими, качественными и дорогостоящими. Применение напыления – это недорогой вариант коронки, который будет обладать некоторыми преимуществами циркония.
4. С покрытием (облицовкой). Чтобы сделать конструкции более эстетичными проводят покрытие передней (лицевой) поверхности керамической массой. При этом коронка выглядит естественно и не бросается в глаза. Недостатком керамической облицовки является риск скола, поэтому рекомендуют не нагружать искусственный зуб.
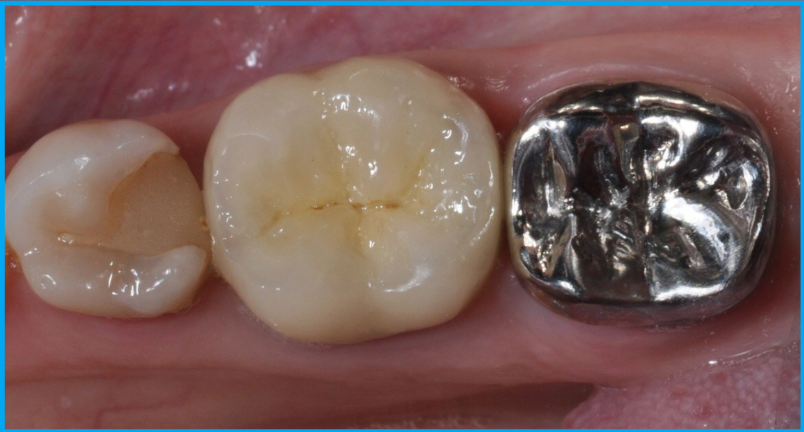
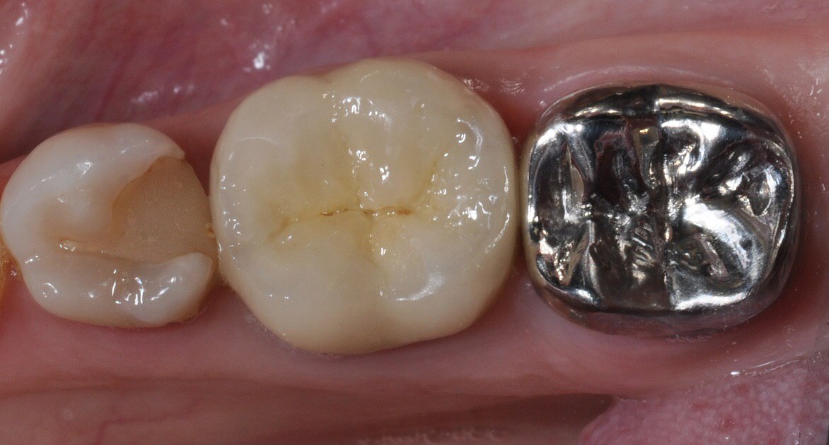
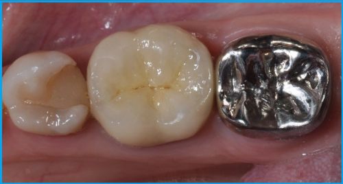
5. Штампованные коронки представляют собой металлический колпачок. Для изготовления используют стандартные гильзы и проводят шлифовку специальной машиной для придания необходимой формы зуба. Такие коронки просты в изготовлении и имеют небольшую стоимость. При подготовке зубов убирается минимальное количество твёрдых тканей, поэтому депульпировать зуб не нужно.

6. Металлокерамическая коронка — это зубной протез, который состоит из двух частей: литой металлический каркас (он практически не поддается окислению слюной) и керамическое покрытие (наружная часть протеза, которая подбирается в соответствии с естественным оттенком зубов). С их помощью восстанавливают фронтальные и боковые зубы. На передние их ставят по причине естественного внешнего вида, а на задние — в связи с их прочностью.
Штифтовая вкладка — разборная или монолитная конструкция, включающая нижнюю корневую часть — аналог штифта, цементирующуюся в зубных каналах, и верхнюю коронковую часть – аналог культи, на которой будет фиксироваться коронка.
Основные показания к применению литых культевых штифтовых вкладок:
1) разрушение значительной части коронок естественных зубов кариозным или другим патологическим процессом;
2) травматический отлом большей части зуба;
3) аномалии положения передних зубов у взрослых, когда по какойлибо причине невозможно их исправить ортодонтическим методом;
4) патологическая стираемость твердых тканей зубов;
5) наклон зубов более 15° при вторичных деформациях зубных рядов;
6) короткие коронки естественных зубов (микродентия).
Во всех этих случаях успешное применение металлокерамических коронок и мостовидных протезов без предварительного изготовления и укрепления в канале корня литых штифтовых вкладок невозможно.
Противопоказания к применению литых культевых штифтовых вкладок:
1) пародонтит средней и тяжелой степени с патологической подвижностью корня зуба;
2) размягчение твердых тканей корня на уровне шейки зуба и глубже, под десной;
3) недостаточная длина корня зуба;
4) искривление корня, облитерация и непроходимость канала;
5) укорочение длины корня после резекции его верхушки.
Процедура изготовления и установки включает несколько этапов:
Подготовительный этап – изучение анамнеза пациента, состояния ротовой полости и корня зуба с точки зрения целостности, соответствия по анатомическим параметрам, рассмотрение и анализ возможных противопоказаний временного и постоянного характера. Врач сопоставляет возможные осложнения и предполагаемую степень полезности.
Начальный этап – депульпирование и пломбировка зубных каналов, подтверждающая качество при помощи рентгеновских снимков. Параллельно в лабораторных условиях начинается изготовление будущей культевой штифтовой вкладки на основании снятого слепка пациента и изготовленной модели из воска.
Этап установки – непосредственная примерка вкладки после отлития при высокой температуре и давлении с дальнейшим цементированием, обработкой и просушкой. При положительной динамике осуществляется окончательная фиксация, после которой в течение суток пациент внимательно отслеживает ощущения, при дискомфорте производится шлифовка.
Следующий этап изготовление металлокерамической конструкции (коронка, мостовидный протез)
Срок службы
Минимальный предполагаемый срок службы составляет 5-10 лет. Клинически зафиксирован срок эксплуатации до 20-ти лет и период, называемый «вечным», поскольку после установки пациент забывает о существовании стоматологического кресла. Длительность срока службы штифтовой вкладки в общих случаях определяется:
-состоянием ротовой полости пациента;
-возрастными параметрами и общим анамнезом;
-наличием или отсутствием сопутствующих патологий;
-выбором действующего материала;
-уровнем оснащенности лаборатории, технически выполняющей вкладку.
Уход за вкладками
Соблюдение мер гигиены – залог успеха здоровых зубов и десен. Это актуально не только для живых элементов зубных рядов, но и для конструкций заменителей. Отсутствие инородных тел накладывает дополнительные обязанности по уходу в виде:
-подбора дополнительных зубных щеток, паст, специальных ополаскивателей, нитей и флоссов по уходу за протезами;
-осуществления профессиональной чистки и обработки с определенной периодичностью;
-регулярного посещения стоматологов в профилактических целях.