Кариес- это патологический процесс, проявляющийся после прорезывания зубов, при котором происходит деминерализация эмали и размягчение твердых тканей с последующим образование полости.

Предрасполагающие факторы, которые способствуют началу проблем с зубами:
В целом основной причиной разрушения зубов является недостаточный уход за полостью рта, использование плохих зубных паст, а также игнорирование стоматологов. В связи с этим, стоит заранее озаботиться профилактикой кариеса, так как лечить эту проблему явно сложнее и дороже.
Симптомы и стадии
Кариес, как прогрессирующее заболевание, имеет несколько стадий своего развития. Коротко рассмотрим основные стадии:
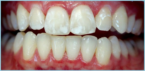
1. Стадия пятна.При осмотре на поверхности зуба обнаруживается белое или темное пятнышко. На этой стадии человек обычно не испытывает никаких неприятных ощущений. Часто такие пятна встречаются после снятие брекетов, когда пациент должным образом не смог правильно чистить зубы.



4. Глубокий. Развивается, когда в результате отсутствия лечения патологический процесс проникает в околопульпарный дентин. Кариозная полость наполнена размягченным дентином, она становиться больше, прикосновение к ней вызывает ощутимую боль. Продолжающееся деградация дентина приводит к поражению пульпы зуба, вследствие чего возникает пульпит, а в скором будущем и периодонтит.

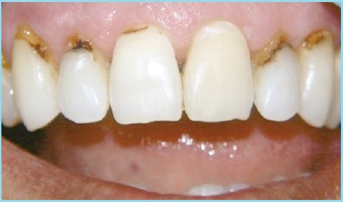
Пришеечный или прикорневой – самая опасная разновидность кариеса, который возникает на зубе в зоне, где он соприкасается с десной и непосредственно – под ней у корневой зоны зуба.
Стоимость лечения: анестезия 500 рублей + пломба 2000 рублей + изолирующая прокладка 500 рублей+ лечебная прокладка 500 рублей = 3500 рублей

Стоимость лечения: анестезия 500 рублей + пломба 2000 рублей + жидктотекучей композит 500 рублей (может не потребоваться) = 2500-3000 рублей
Пульпит - воспаление мягкой ткани (пульпы), которая состоит из нервов, кровеносных сосоудов и соединительной ткани. Восполительный процесс протекает в пульпарной камере и корневом канале зуба.

Ориентировочная стоимость лечения:
Один канальный зуб: анестезия + мех. и мед обработка канала + пломбировка канала + постоянная пломба = 4900 рублей
Двух канальный зуб: анестезия + мех. и мед. обработка каналов + пломбировка каналов + постоянная пломба = 5900 рублей
Трех канальный зуб: анестезия + мех. и мед. обработка каналов + плобировка каналов + постоянная пломба = 7500 рублей
Причины возникновения:
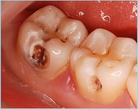
1. Кариес- вследствии разрушения твердых тканей зуба в пульпарную камеру попадают микроорганизмы.


![]() |
![]() |
Пульпит бывает: острый и хронический.
Для острого пульпита характерны самопроизвольные, приступообразные боли, которые усиливаются ночью.
При хронических пульпитах боль не всегда острая, резкая но всегда напоминает о себе при действии внешних раздражителей на зуб.
В зависимости от тяжести течения и выраженности симптомов пульпита, определяется индивидуальная схема лечения.
Ткань, окружающая корни зуба и удерживающая его в альвеоле, получила медицинский термин — периодонт. Соответственно, ее воспаление классифицируют как периодонтит. Локализация очага воспаления обуславливает разделение периодонтита на апикальный и маргинальный.
Ориентировочная стоимость лечения:
1 посещение
Один канальный зуб: анестезия + мех. и мед обработка канала + пломбировка канала лечебной пастой + временная пломба = 2000 рублей
Двух канальный зуб: анестезия + мех. и мед. обработка каналов + пломбировка каналов лечебной пастой + временная пломба = 2500 рублей
Трех канальный зуб: анестезия + мех. и мед. обработка каналов + плобировка каналов лечебной пастой + временная пломба = 3000 рублей
2 посещение
Один канальный зуб: анестезия + мех. и мед обработка канала + пломбировка канала + постоянная пломба = 4900 рублей
Двух канальный зуб: анестезия + мех. и мед. обработка каналов + пломбировка каналов + постоянная пломба = 5900 рублей
Трех канальный зуб: анестезия + мех. и мед. обработка каналов + плобировка каналов + постоянная пломба = 7500 рублей
Причина возникновения
Причиной развития заболевания в большинстве случаев становится глубокий кариес и пульпит. При пульпите воспаление поражает мягкие ткани зуба – пульпу, затем распространяется на периодонт. Этот процесс способствует формированию кисты – своеобразного мешочка, заполненного жидкостью. В данном случае речь идет о серозном периодонтите.
Классификация
Острый периодонтит проявляется следующими симптомами:

Хронический периодонтит может протекать бессимптомно. Иногда наблюдается слабая боль при надкусывании больным зубом. Почти всегда такой зуб имеет измененный, сероватый оттенок; при простукивании звук получается более глухим, чем у здорового зуба. Возможно образование свища – отверстия, через которое гной из очага воспаления вытекает в ротовую полость. Свищ чаще всего выглядит как пузырёк с бело-серым содержимым в проекции верхушки больного зуба.
Хронический периодонтит имеет три формы:
При обострении хронического процесса симптомы заболевания становятся аналогичными острой форме, однако после того, как появится свищ и начнется выделение гноя, процесс опять пойдет на спад, принимая хроническую форму.
Последствия
При отсутствии лечения острый периодонтит может привести к неприятным осложнениям — периоститу (флюсу), а затем к абсцессам и флегмонам челюстно-лицевой области. Возможно развитие острого остеомиелита или гайморита.
При прогрессировании хронического периодонтита чаще всего образуются кисты, способные в процессе роста охватывать корни соседних зубов. Также возможно прорастание кист в гайморову пазуху. Возможно нагноение кист с образованием хронического свища (как в полость рта, так и через кожу околочелюстной области).
Лечение
Принципы лечения всех форм периодонтита сводятся к устранению воспаления в области верхушки корня зуба. Достигается это разными способами. Сложность лечения определяется степенью развития процесса, его распространенностью, анатомией зуба и корней, возрастом пациента.